Pseudogout and Its Treatment
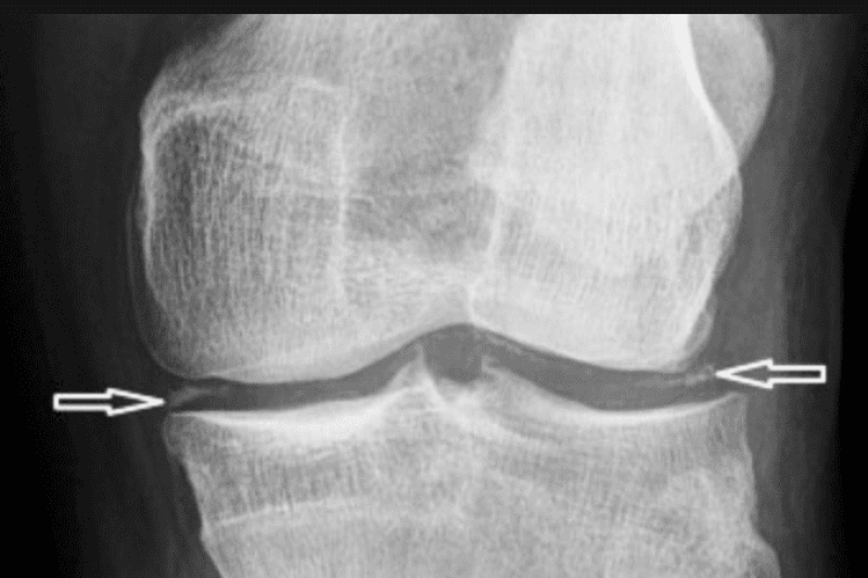
What is Pseudogout “false gout”? Calcium Pyrophosphate Deposition (CPPD) also known as Pseudogout, is a joint problem caused by crystals of calcium salt called Pyrophosphate that are deposited …









